Rassegna Stampa
50Ncm e Più: Benefici e Rischi del Torque Alto
Dr. Ernesto Bruschi - Bonebenders.com
Pubblicato il 16-02-2026
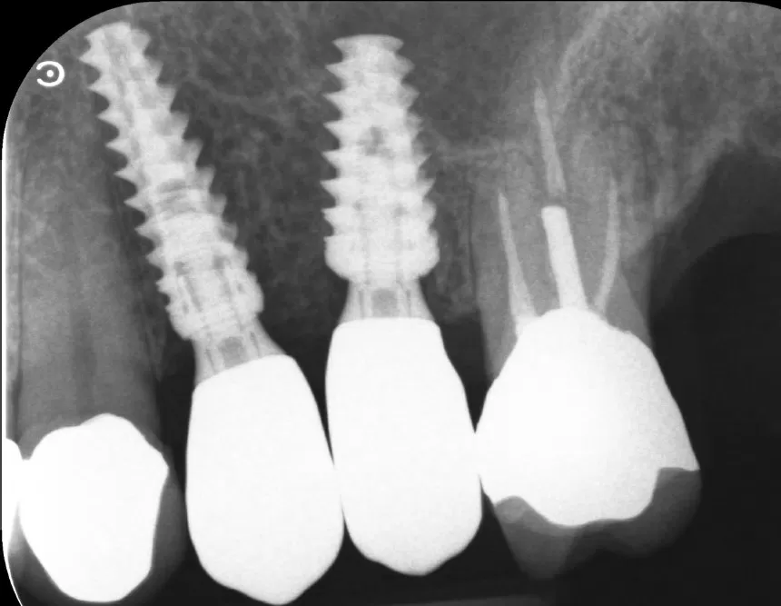
Stabilità di un altro pianeta: minirialzo e carico immediato
Caso clinico di carico immediato su rialzo crestale del seno mascellare con tecnica a espansori.
Pubblicato il 13-02-2026
Orrori Evitabili: Impianti, Connessioni, e Componenti
Errori evitabili nella scelta e nel posizionamento di impianti, connessioni protesiche e componenti intermedie.
Pubblicato il 12-02-2026
Espansione apicale: un approccio innovativo in implantologia
7 Marzo 2025 - Bonebenders.com
Pubblicato il 07-03-2025
