
| No Anestesia | Sì Relax |
| No Dolore | Sì Compliance |
| No Lunghe Attese | Sì Sorriso In Poco Tempo |
| No Danno Biologico | Sì Reversibilità |
| No Preparazione | Sì Su Misura |
| No Sorprese | Sì Pre-Visualizzazione |
| No Costi proibitivi | Sì Costi Accessibili |
| No Pre-Formati | Sì Migliora La Forma |
| No Disallineamenti | Sì Può Allineare |
| No Improvvisazione | Sì Dentisti Certificati |
| No Imprevisti | Sì Rifacimento Immediato |
| No Compromessi | Sì Estetica eccellente |
| No Rimedio | Sì Trasformazione |

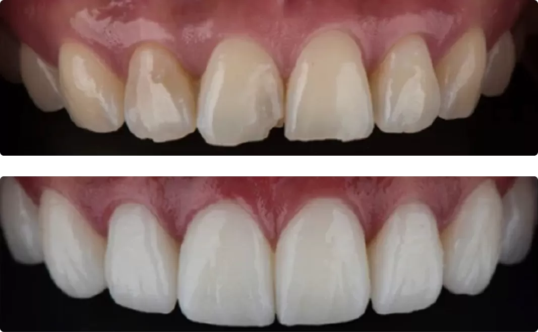
Le faccette LoVeneers sono gusci di ceramica talmente sottili da essere definibili denti a contatto, proprio in riferimento agli spessori impercettibili delle lenti a contatto.
La caratteristica più importante riguarda la possibilità di raggiungere spessori minimi, addirittura 0,2 mm, che consentono di rivestire il dente senza ritoccarlo: LoVeneers infatti, a differenza delle faccette più note che richiedono la preparazione del dente con demolizione dello smalto, viene applicata direttamente sul dente e viene definita per questo, NO PREP o mini-invasiva


LoVeneers riveste e abbraccia il tuo dente, viene costruito sulle sue forme e attraverso un progetto che potrai vedere prima di produrre il tuo nuovo sorriso, ti permettono insieme al tuo dentista di perfezionarlo.
Il desiderio di essere belli, è diventato un esigenza che il modello sociale del nostro tempo ci ha insegnato. Abbiamo imparato a guardarci, abbiamo imparato a confrontarci, abbiamo imparato a prenderci cura di noi. Abbiamo capito che meritiamo di sentirci bene e l’importanza di essere attraenti, prima di tutto, per noi stessi. Abbiamo voglia di essere il modello, di essere notati, di sedurre, di essere cercati.
Vogliamo sapere di fare la scelta giusta!


Sotto la Direzione Scientifica della Dr.ssa Elisabetta Pastorini, Kalodon propone ai dentisti un percorso di Certificazione che si sviluppa attraverso incontri sui principali argomenti di estetica dentale: morfologia, parabole, misurazioni, scelta del colore, estetica del sorriso in armonia con il volto, adesione, impronta.
Durante la prima visita il tuo dentista valuterà attentamente le condizioni, verificherà gli spazi, le forme ed ascolterà le tue richieste, per progettare insieme un risultato armonioso. Verranno prese le impronte e si procederà alla fase di attesa della pre-visualizzazione, senza alcun disagio perché i tuoi denti non subiranno modifiche.
Nella seconda visita si passa alla prova Mock-Up che consente al paziente di vedere come verrà trasformato il suo sorriso ed insieme al suo dentista, farà la scelta del colore, consigliato per ottenere un risultato in linea con i desideri del paziente attraverso l’occhio esperto che lo guiderà verso una scelta naturale.
In sole due settimane si compirà la meraviglia: in una seduta verranno applicate le faccette, si illuminerà un nuovo sorriso. Poco dopo la cementazione potrai riprendere la tua vita di sempre e vedrai gli sguardi che noteranno la una nuova luce. Ti guarderai allo specchio con emozione e il tuo look splendente sorprenderà anche te….. e la felicità sarà realtà, sarà naturale, sarà LoVeneers.
Le faccette LoVeneers sono realizzate in ceramica, utilizzando un materiale molto resistente e di elevata qualità: esistono diversi colori che vanno dai più naturali della scala vita, fino ai Bleach per chi vuole un bianco abbagliante.
Lo spessore e la gestione delle trasparenze attraverso un corretto protocollo di adesione, nasconderanno eventuali discromie anche importanti e dà luce alla luminosità della tua immagine.
Grazie a tecniche di produzione sofisticatissime, si possono ottenere spessori realmente sottili e quando serve, si possono aumentare per gestire allineamenti contenuti: tutto facile con LoVeneers.
Hai la possibilità di correggere le imperfezioni, ottenere un colore social white, mantenere l’integrità dei tuoi denti.
Anna
"Da tempo volevo fare qualcosa, avevo denti macchiati e non mi sentivo più bella, anche se mi piacevano le forme e con l’ortodonzia avevo allineato in modo armonioso il mio sorriso. Quando il mio dentista mi ha raccontato delle faccette no-prep LoVeneers non riuscivo a crederci. Ora sono una donna felice e più sicura! Amo il mio sorriso LoVeneers!"
Marco
"Ebbene si, il mio aspetto sicuro di oggi, nasconde la paura di sentire mani, trapani, frese, aghi, sono un fifone... Solo quando mi hanno convinto, che non toccavano i miei denti, che non sentivo dolore, che non mi infilavano aghi per l’anestesia e che non dovevo sentire il ronzio di trapano e frese, mi sono convinto e ho accettato le faccette additive LoVeneers. Ora sono un’altra persona qualche imperfezione di posizione ed il colore, la luce del mio sorriso, mi fanno sentire un vincente ed ho scoperto di piacere un sacco"
Non occorre perché il dente non viene toccato ed eventuale stripping si opera senza anestesia
L’applicazione delle faccette LoVeneers avviene con pellicole applicate sui tuoi denti con semplice adesione indolore.
Poche sedute come impegno dal dentista e la produzione avviene in 15 giorni da quando avrai condiviso il tuo progetto-sorriso con il tuo dentista.
I denti non saranno demoliti da preparazione invasiva, sottili pellicole estetiche saranno applicate senza arrecare alcun danno al dente, rispettando e migliorando le forme naturali ed il confort di ritrovarti senza cambiamenti fastidiosi da subito.
Ben che i denti del paziente non saranno ridotti nello smalto dalla preparazione, le tue nuove faccette LoVeneers saranno costruite sull’impronta dentale rilevata e definite con le forme corrette e scelte in condivisione con il suo dentista, garantendo un altissimo livello di precisione sui propri denti
All’inizio il dentista mostrerà al paziente già dalla prima visita, come viene sviluppato il progetto estetico personalizzato, usando il portale LoVeneers dalla piattaforma UNIKA, in cui vengono decisi quanti denti si possono rivestire, le forme, il colore, le caratterizzazioni.
Dopo pochi giorni il paziente potrà tornare dentista, potrà provare un provvisorio ottenuto da mock-up ed indossandolo avrà un idea precisa di quello che sta decidendo, utilizzando anche il colore molto simile a quello che verrà applicato. Le faccette LoVeneers sono costruite in speciale ceramica realizzata per faccette mini-invasive: la ceramica non subisce infiltrazioni, per tanto il nuovo sorriso durerà fin che il paziente decide di tenerlo e il suo aspetto naturale, viene infatti definito anche sbiancamento permanente.
Le tecnologie consentono di guadagnare tempo nella produzione delle faccette individuali LoVeneers, che vengono caratterizzate e rifinite a mano, contenendo il costo al dentista, che può proporre un estetica dentale di eccellenza al giusto prezzo, più vicino ad un probabile accordo col paziente.
Le faccette mini-invasive LoVeneers non sono pre-formate, non corrispondono a standard industriali che vengono adattati: sono faccette realizzate esclusivamente su misura ed impronta del paziente, per garantire qualità estetica e perfetta precisione.
Maria Vittoria
"Non sono mai stata così felice, per molto tempo ho odiato il colore e la forma dei miei denti. Mi sono sempre ritenuta sfortunata e mi sono convinta di non avere fascino e sensualità. Un bel sorriso è molto importante ed io non lo avevo. Ed ora guardatemi, sono bella davvero ed ho sempre voglia di ridere senza vergogna. Grazie al mio dentista mi sento LoVeneers"
In diverse situazione le faccette LoVeneers possono essere utilizzate anche per correggere disallineamenti, consentendo un miglioramento estetico a tutti i livelli: grazie ai minimi spessori di 0.2mm si possono ridurre gli spessori nei punti più vestibolari e compensare entro alcuni decimi, riallineamenti ragionevoli che saranno valutati dal dentista, ottimizzando la performance delle faccette LoVeneers e potendo accontentare anche pazienti più esigenti o con maggiori criticità oltre al colore.
Kalodon propone corsi di certificazione LoVeneers periodicamente ed in tutta Italia, con l’obiettivo di formare numerosi provider: i corsi di adesione e pianificazione dei progetti abilitano la qualifica di provider, che viene comunicata al paziente attraverso la consultazione nell’area dedicata assicurandogli un riferimento di fiducia a cui potersi rivolgere.
Come per ogni restauro cementato, anche la faccetta estetica può in rari casi avvenire un distacco e si potrebbe perdere una faccetta. Kalodon mantiene un archivio a vita di tutti i casi in un cloud protetto, attraverso il quale il clinico può accedere ad un rifacimento immediato ed in 10 giorni il paziente potrà riavere l’integrazione. Grazie al materiale ceramico utilizzato, le faccette LoVeneers mantengono il colore tutta la vita e sarà per tanto molto semplice riprodurla senza alcuna alterazione.
Gabriella
"Ho scoperto LoVeneers per caso, ero fissata con i denti bianchi Hollywodiani, un amico mi ha confessato la stessa cosa e di aver trovata la soluzione. Eccomi pronta gasatissima per diventare un attrice con il mio sorriso da Star."
Spesso per ridurre i costi si ricorre a pre-formati in composito. Le faccette LoVeneers vengono prodotte unicamente in ceramica molto resistente e offrono un estetica dentale di eccellenza al giusto prezzo. Gli spessori sottilissimi permettono di mantenere inalterato il confort abituale del paziente; la ceramica a sua volta mantiene il colore nel tempo e non subisce infiltrazioni come può accadere nel composito, offrendo un lavoro di lunghissima durata.
Le faccette LoVeneers non sono un rimedio ad una situazione mediocre o pessima iniziale: l’obiettivo è quello di dare o restituire un nuovo sorriso al paziente, trasformare in bello, gradevole, proporzionato e luminoso, il viso di chiunque e restituire fiducia e sicurezza nel sorriso.

Al Portale LoVeneers il dentista si accede può accedere attraverso la piattaforma UNIKA selezionando la voce Links in alto a destra vicino al nome dell’utente. Comparirà la finestra di benvenuto con le opzioni principali in evidenza e dal menù laterale si accede a tutte le funzioni disponibili, che si attiva cliccando sulla freccia vicino alle bandierine delle lingue già predisposte. Nelle Faq si possono trovare le Domande più frequenti che abbiamo raccolto, Con le risposte che guidano il clinico nella Prescrizione e si possono trovare anche informazioni utili per la gestione corretta del Prodotto. L’accesso alle anagrafiche è direttamente collegato ad UNIKA
Il Portale LoVeneers è lo strumento di comunicazione delle prescrizioni che vengono trasmesse al laboratorio in tempo reale: la prescrizione con un percorso guidato, viene compilata in tutte le sue voci e richiederà la sottoscrizione del consenso informato ed il documento della Privacy. Una volta inserita la prescrizione completa di impronte, si aprirà una chat permanente che assevera ogni step e consente una comunicazione costante, in cui il dentista può fare domande di informazioni e/o seguire il timing di lavoro ed accogliere le richieste dell’azienda, necessarie per poter avanzare. Sulla chat arriveranno tutte le immagini di pre-visualizzazione e/o, i file necessari per esempio per il mock-up o per mostrare analisi del caso. La chat viene archiviata e riattivabile al bisogno per tutti i casi. E’ possibile anche scaricare ed archiviare un PDF con tutte le info della prescrizione, durante ed alla fine del caso. La soluzione UNIKA sempre a portata di click.

Consulta le F.A.Q. per scegliere con cura la soluzione più adatta alle tue esigenze.
Siamo a tua disposizione per ulteriori informazioni e dettagli sui nostri prodotti. Compila il form a fianco, e verrai ricontattato a breve di nostri consulenti.
In ottemperanza con quanto previsto dalla normativa vigente, dichiaro sotto la mia responsabilità di essere un professionista del settore odontoiatrico e di essere pertanto autorizzato a prendere visione del contenuto presente in questo sito internet.